- ホーム
- ホワイトニング
ホワイトニング
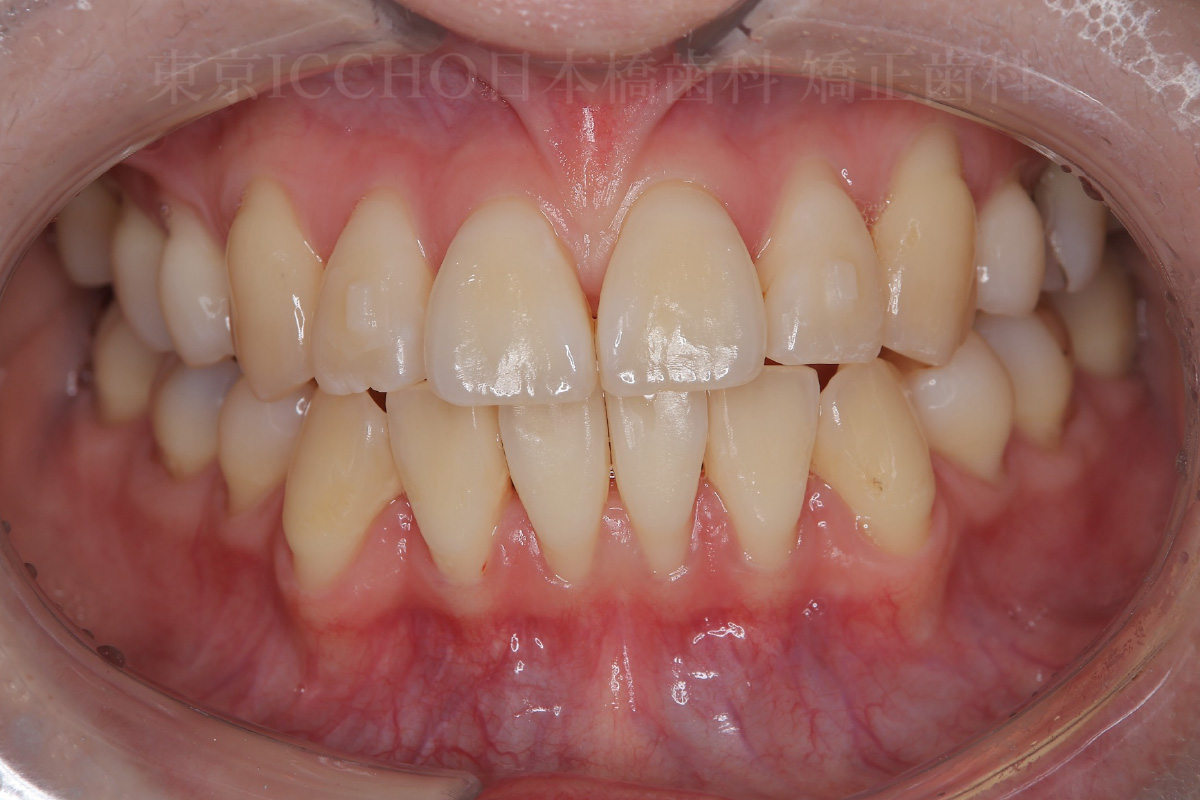
歯の黄ばみが
気になる
- 担当医
- -
- 主訴
- 歯の黄ばみが気になる
- 期間
- 1日
- 費用
- 22,000円(税込)
- 治療内容
- オフィスホワイトニング(初回)
- 治療に伴うリスク
- 半日~1日知覚過敏
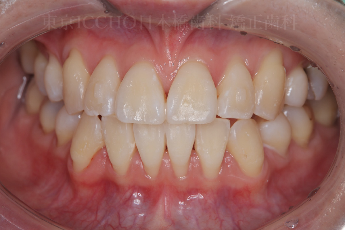
歯の黄ばみが
気になる
- 担当医
- -
- 主訴
- 歯の黄ばみが気になる
- 期間
- 半年
- 費用
- 48,400円
- 治療内容
- オフィスホワイトニング3回
- 治療に伴うリスク
- 半日~1日知覚過敏
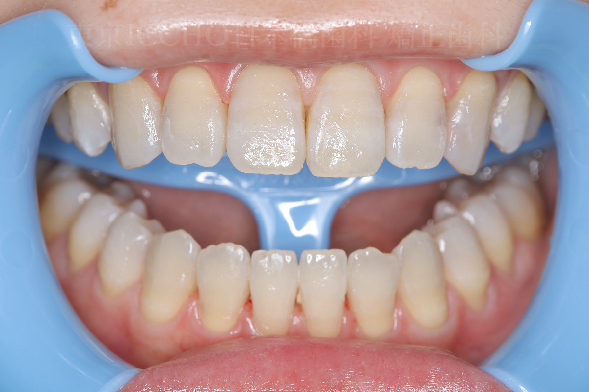
歯を白くしたい
- 担当医
- -
- 主訴
- 歯を白くしたい
- 期間
- 2週間
- 費用
- 35,200円(税込)
- 治療内容
- オフィスホワイトニング 2回
- 治療に伴うリスク
- 半日~1日知覚過敏
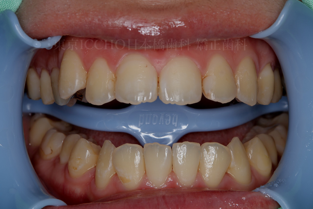
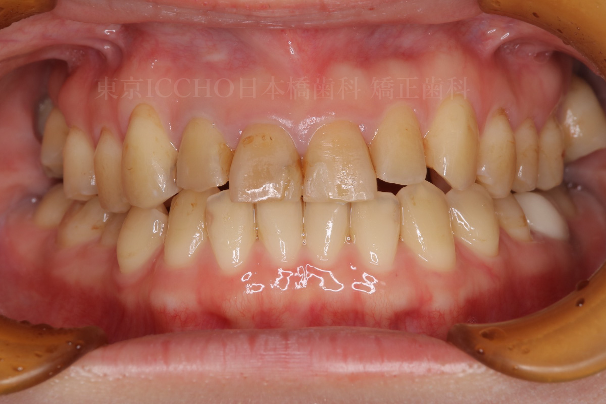
前歯の
かぶせ物の前に
歯を白くしたい
- 担当医
- -
- 主訴
- 前歯のかぶせ物の前に歯を白くしたい
- 期間
- 1か月
- 費用
- 45,100円(税込)
※かぶせ物は含まず
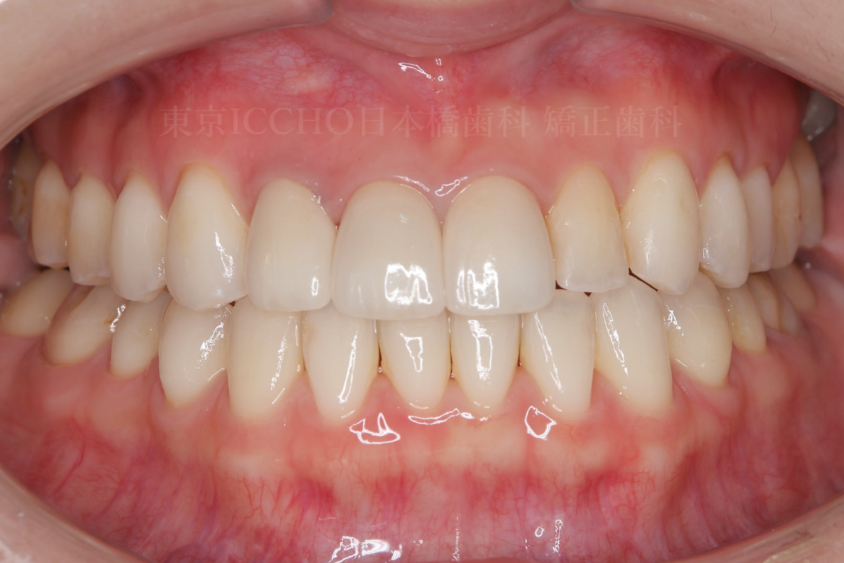
- 治療内容
- デュアルホワイトニング(オフィスホワイトニングとホームホワイトニングの併用)
その後上の前歯は周りの歯の色に合わせてかぶせ物を行った。
- 治療に伴うリスク
- 半日~1日知覚過敏







