- ホーム
- 噛み合わせ治療
噛み合わせ治療
【噛み合わせ治療】
かみ合わせと上の前⻭がつながっているのを治したい
- 担当医
- 阿部 賢一
- 主訴
- かみ合わせと上の前⻭がつながっているのを治したい。
- 期間
- 3年
- 費用
- 3,206,500円(税込)
- 治療内容
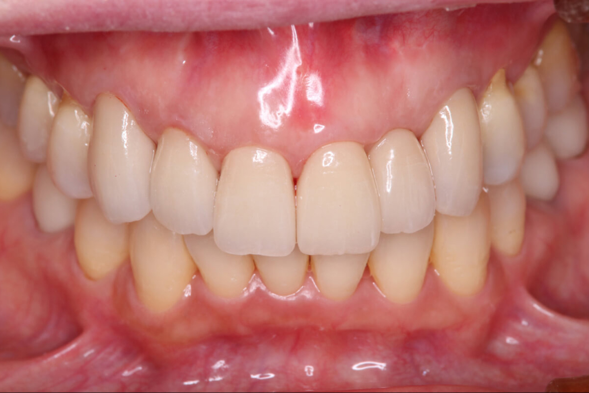
- 上顎の前⻭は⻭の⼤きな乱れを治すために連続して6本つながっているセラミックが⼊っているため、⻭の位置を修正するため、矯正治療を⾏い全体的に⻭並びの修正を⾏った。
保定期間を経て前⻭の⻭⾁の⼿術も⾏い審美的に整えて仮⻭で経過をみた後、オールセラミックにて前⻭のほか、かみ合わせ治療を⾏った。
- 治療に伴うリスク
- 治療期間がかかる。費⽤がかかる。セラミックは⽋ける可能性がある。メンテナンスが必要。

