- ホーム
- インプラント
インプラント
【インプラント治療】
噛み合わせを治し
噛めるようにしたい
- 担当医
- 阿部 賢一
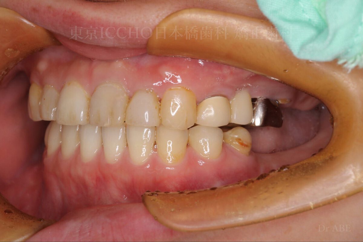
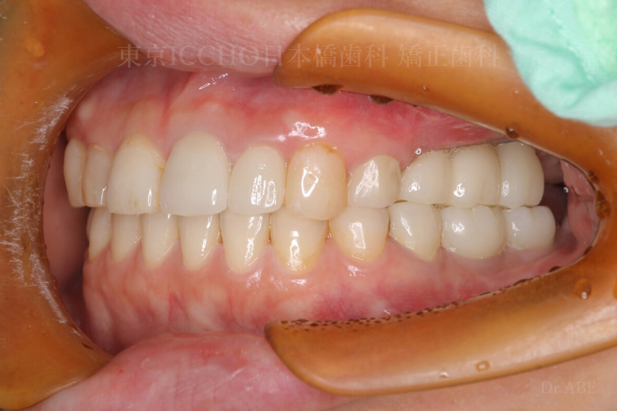
- 主訴
- 噛み合わせを治し噛めるようにしたい。
- 期間
- 1年
- 費用
- 上顎(3本)サイナスリフト:
1,705,000円(税込)、
下顎(2本):990,000円(税込)
- 治療内容
- 左上銀⻭とその前の⻭が2本折れていたため抜⻭を⾏い、上顎は⻣が⾜りないため上顎洞に⻣を⾜し(サイナスリフト)上下それぞれにインプラント治療を⾏いました。
- 治療に伴うリスク
- 治療期間、費⽤がかかる。インプラントは感染のリスクがある。

