- ホーム
- 義歯(入れ歯)
義歯(入れ歯)
【義歯・入れ歯】
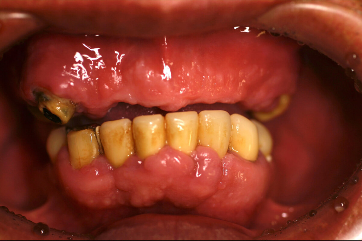
⻭⾁が痛くて⼊れ⻭で咬めない
- 担当医
- 阿部 賢一
- 主訴
- ⻭⾁が痛くて⼊れ⻭で咬めない。
- 期間
- 1年
- 費用
- 上顎:440,000円(税込) 、
下顎:550,000円(税込)
- 治療内容
- ⻭⾁の炎症が著しく不適合の被せ物を外して⻭周病治療を⾏った。
噛み合わせを正しい位置へと誘導後、炎症が改善されたところで、上顎は総義⻭、下顎は特殊義⻭(コーヌス)にて安定するようにかみ合わせ治療を⾏った。
- 治療に伴うリスク
- ⻭⾁に炎症が起こる可能性があるのでプラークコントロールが重要。

