- ホーム
- セラミック治療
セラミック治療
【噛み合わせ治療】
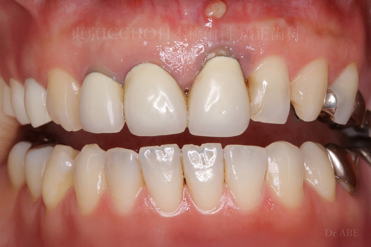
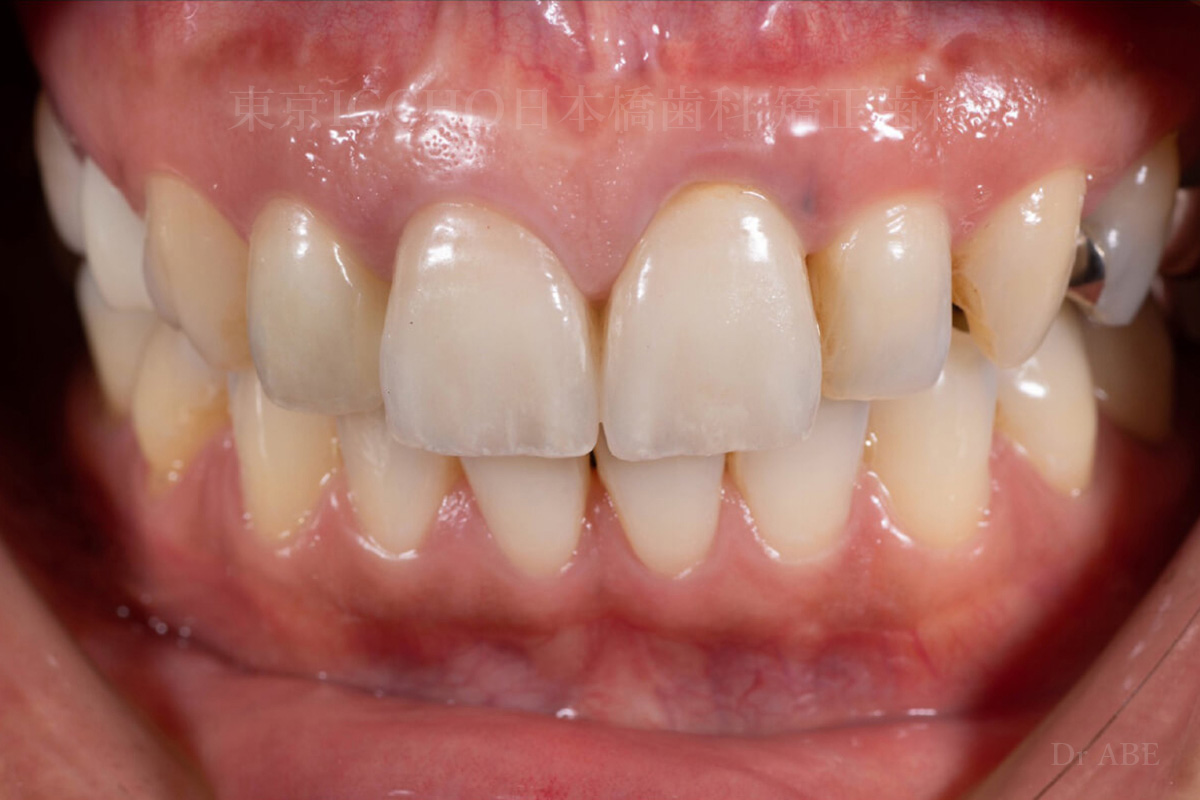
かみ合わせと上の前⻭がつながっているのを治したい
- 担当医
- 阿部 賢一
- 主訴
- かみ合わせと上の前⻭がつながっているのを治したい。
- 期間
- 3年
- 費用
- 3,206,500円(税込)
- 治療内容
- 上顎の前⻭は⻭の⼤きな乱れを治すために連続して6本つながっているセラミックが⼊っているため、⻭の位置を修正するため、矯正治療を⾏い全体的に⻭並びの修正を⾏った。
保定期間を経て前⻭の⻭⾁の⼿術も⾏い審美的に整えて仮⻭で経過をみた後、オールセラミックにて前⻭のほか、かみ合わせ治療を⾏った。
- 治療に伴うリスク
- 治療期間がかかる。費⽤がかかる。セラミックは⽋ける可能性がある。メンテナンスが必要。
【セラミック治療】
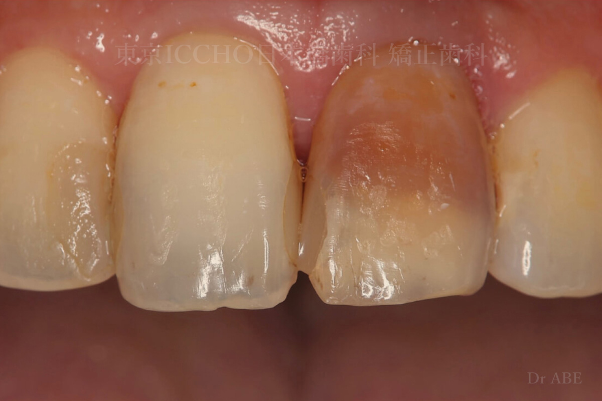
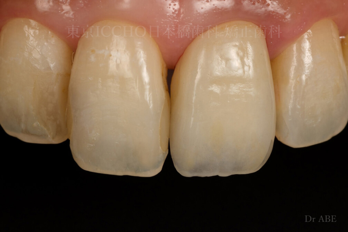
今、入っている右の前歯のセラミックを
綺麗にやりかえたい
- 担当医
- 阿部 賢一
- 主訴
- 今、入っている右の前歯のセラミックを綺麗にやりかえたい。
- 期間
- 1.5ヶ月
- 費用
- 1本264,000円(税込)
- 治療内容
- 前歯の根本が見えてしまっているため、歯茎のラインを考慮しながら、全体的にバランスを整えて、自然なオールセラミック治療を行いました。
- 治療に伴うリスク
- セラミックが⽋ける可能性があること。
【セラミック治療】
前⻭の被せ物を外してやり直し⾃然にしたい
- 担当医
- 阿部 賢一
- 主訴
- 前⻭の被せ物を外してやり直し⾃然にしたい。
- 期間
- 4ヶ月
- 費用
- 上顎(3本)
660,000円(税込)
- 治療内容
- 根の中に感染があり根元から膿が出ているため、それぞれ根管治療を⾏い、⼟台(ファイバーコア)を⼊れて、仮⻭で経過をみてからオールセラミックにて、より⾃然になるように治療を⾏いました。
- 治療に伴うリスク
- ⻭を削ること。セラミックが⽋ける可能性があること。
【セラミック治療】
前⻭の⾊を治して綺麗にしたい
- 担当医
- 阿部 賢一
- 主訴
- 前⻭の⾊を治して綺麗にしたい。
- 期間
- 1.5ヶ月
- 費用
- 262,000円(税込)
- 治療内容
- 神経のない⻭のため、⾍⻭を取り除き⼟台(ファイバーコア)を⼊れて、仮⻭で経過をみた後、⾊の修正を重ねてオールセラミック治療を⾏いました。
- 治療に伴うリスク
- ⻭を削ること。セラミックは⽋ける可能性があること。







