【矯正治療】前歯が噛めないこと、出ているのを直したい - 東京ICCHO日本橋歯科・矯正歯科

【矯正治療】
前歯が噛めないこと、出ているのを直したい

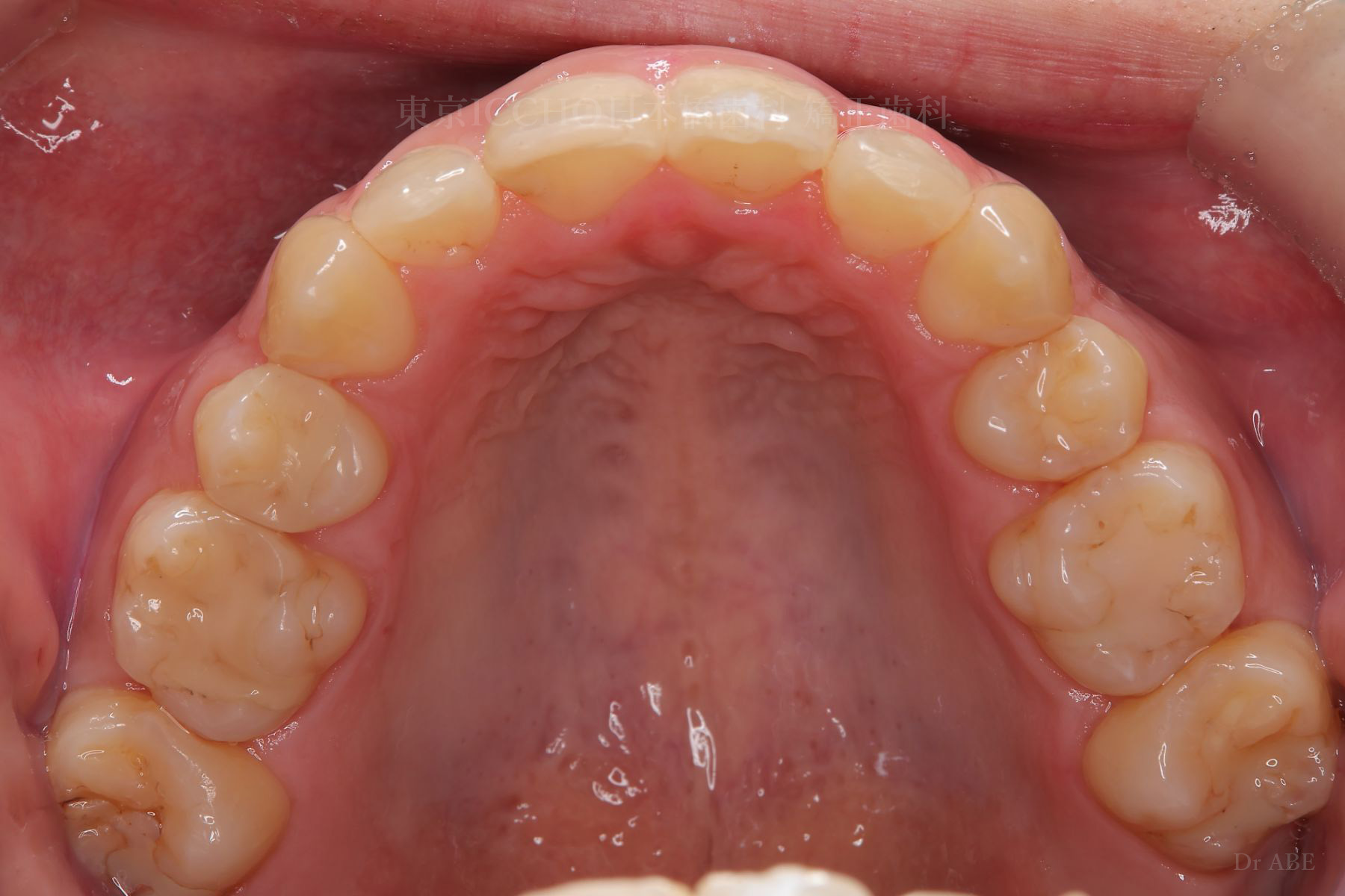
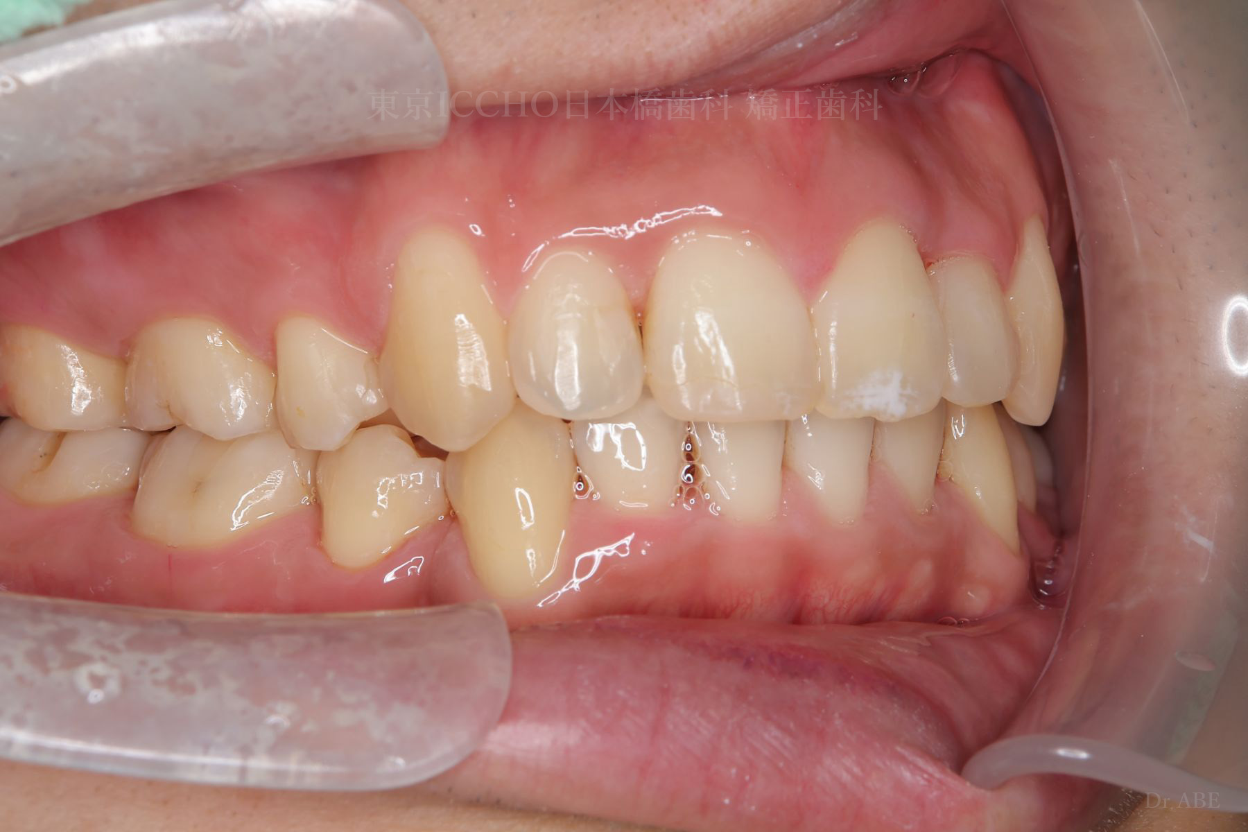
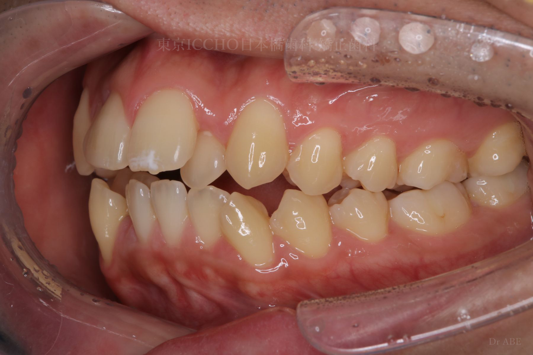
治療前

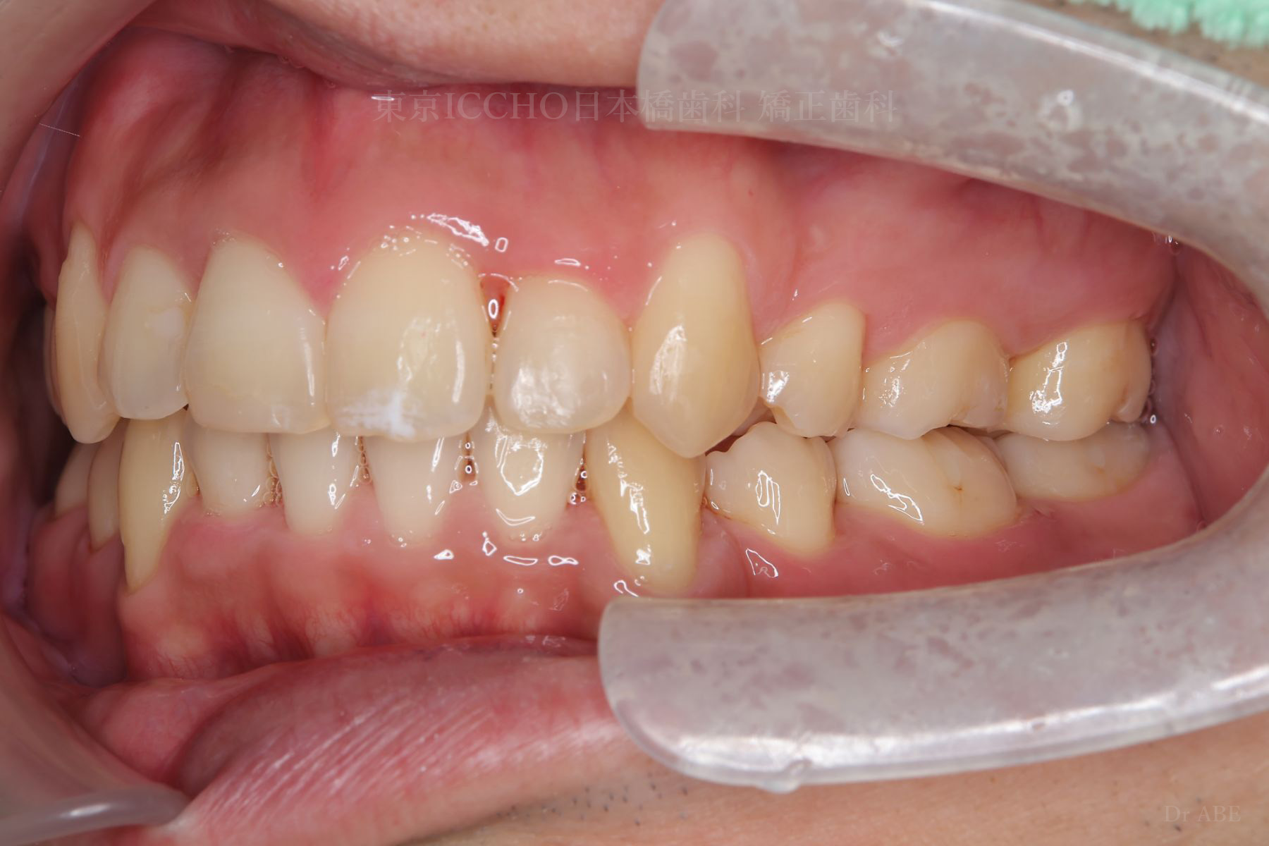
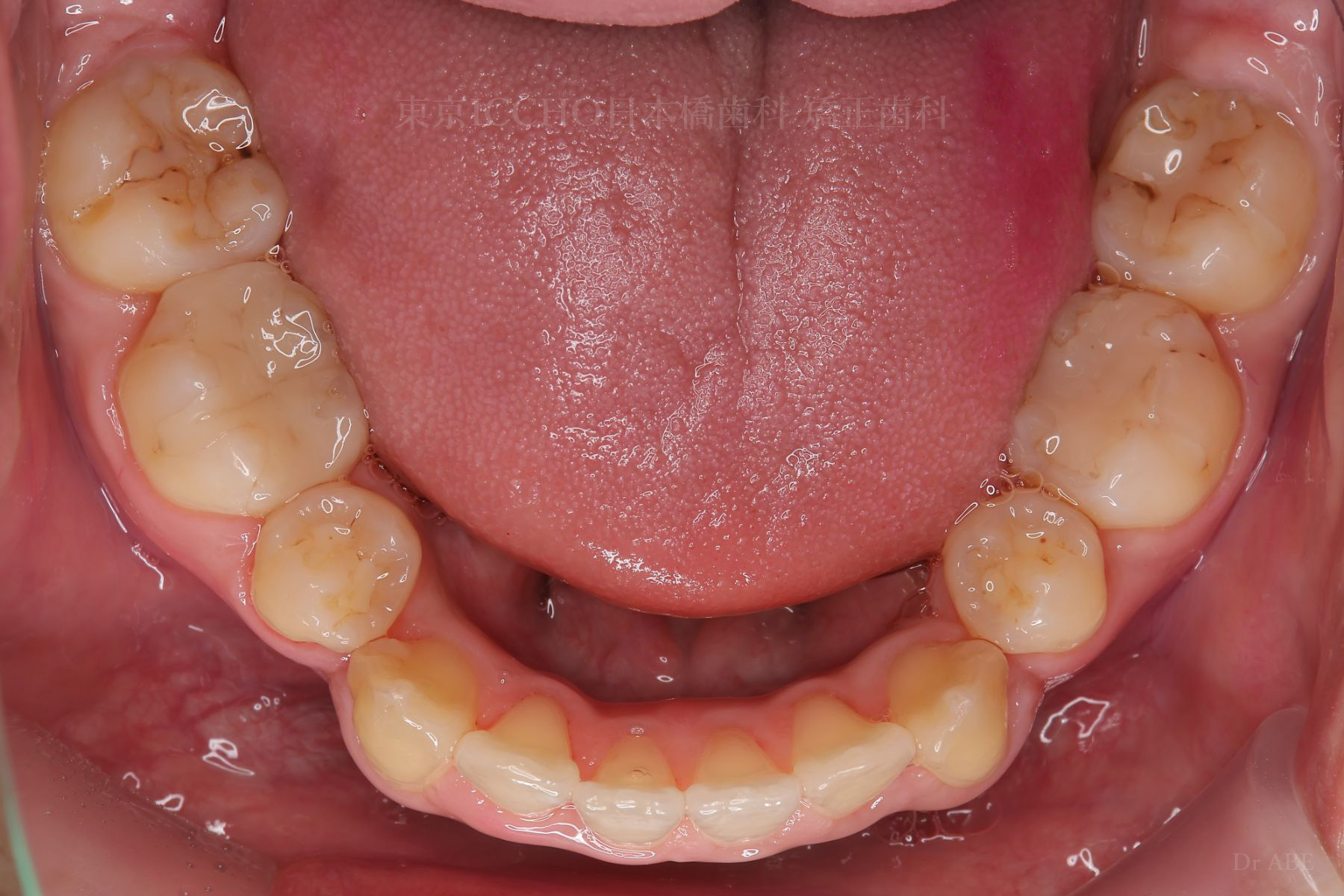
治療後

担当医 阿部 賢一
主訴 前歯が噛めないこと、出ているのを直したい。
期間 2年
費用 1,100,000円(税込)
治療内容 かみ合わせの不正と顎が小さいため、上下左右第一小臼歯4本の抜歯を行い前歯を後ろへ下げた。
また、前歯が噛まない状態のため、かみ合わせを少し下げて噛むように誘導し、全体的にかみ合わせとして機能的な矯正治療を行った。
治療に伴うリスク 治療期間、費用がかかる。歯肉が下がる可能性がある。

関連症例

  • 完全個室

  • 「日本橋駅」から
    直結

  • 土日診療

診療時間
10:00-19:00

休診日 祝日のみ

★:土曜日
10:00-18:00
☆:日曜日
10:00-17:00
※日曜日は特別診療です。
ご相談下さい。

ご予約・ご相談はお気軽に!

地図

東京・日本橋の歯医者
【東京ICCHO日本橋歯科・矯正歯科】
〒103-0027 東京都中央区日本橋1丁目3−13
東京建物日本橋ビル 1F 永代通り沿い
TEL: 03-6910-8241

電車でお越しの方

  • 東西線、銀座線、浅草線 「日本橋駅」
    出口B9a 駅直結0分
    出口A4 駅直結0分
    (交通銀行B1Fエレベーター1Fへ永代通り左へ)
  • 半蔵門線、銀座線 「三越前駅」 出口B5 徒歩3分
  • JR各線 「東京駅」
    日本橋出口 徒歩5分
    八重洲北口出口 徒歩6分
  • 日比谷線、東西線 「茅場町駅」 徒歩7分

バスでお越しの方

  • 無料巡回バス[メトロリンク日本橋]
    「東京駅」八重洲口から1つ目
    呉服橋バス停徒歩1分
  • 東22[都営バス]
    「東京駅」丸の内北口→「錦糸町駅」前1つ目
    呉服橋バス停徒歩1分
  • 東42-1[都営バス]
    「南千住駅」西口→「東京駅」八重洲口
    日本橋バス停(永代通り向かい側)徒歩2分

お車でお越しの方

  • 東京建物日本橋ビルに駐車場は御座いません。
  • 常盤橋タワー
    徒歩3分地下駐車場(機械式112台 車幅制限有り)
  • 新大手町ビル
    徒歩5分地下駐車場(自走式30台)
  • 駐車券について:
    丸の内パークイン無料チケットをお渡ししております。
    ※満車の場合はご了承ください

GROUP

グループ医院